荆楚网(湖北日报网)讯(记者 潘頔 通讯员 邓宇)“感觉就像是睡了一觉,治疗就结束了。”4月16日,在华中科技大学同济医学院附属同济医院质子中心,刚完成治疗的杨大爷(化名)面色红润、步伐轻快,难以想象一个多月前他是一位被确诊为前列腺癌、正为即将到来的“煎熬”放疗而忧心忡忡的患者。
前列腺与直肠位置相邻,这一特殊的生理结构给前列腺癌的放疗带来了巨大挑战。高剂量射线在“杀死”肿瘤细胞的同时,紧挨着的直肠前壁极易受到损伤,进而引发便血、腹泻等放射性直肠炎症状。许多患者因此承受着巨大的痛苦,甚至不得不中断治疗,陷入“杀敌一千,自损八百”的困境。
面对这一难题,同济医院肿瘤放射治疗中心主任陶振团队没有因循守旧。他们联合泌尿外科、泌尿及男性生殖系统肿瘤科、超声影像科、核医学科等多学科专家,开展了MDT多学科讨论,最终决定采用创新的治疗思路。

图为医生正在为患者做检查

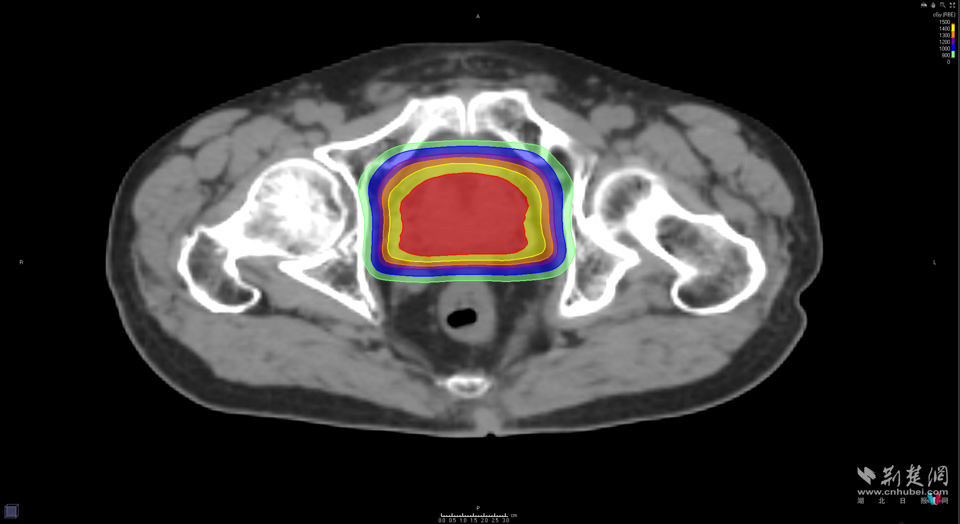
图为患者质子放疗靶区剂量分布图,直肠区域几乎无高剂量射线照射
3月初,在该院质子中心治疗室内,一场精细的“微创手术”有序展开。在超声的精准引导下,医生将一种无菌、可吸收的聚合物水凝胶,如同“打针”一般,精准地注入杨大爷前列腺和直肠之间的间隙。仅仅20分钟,奇迹发生了:注入的凝胶迅速成型,形成一块约1厘米厚的“果冻”状物质,稳稳地将直肠前壁推开。陶振主任形象地比喻道:“这就好比给直肠建起了一道坚固的‘防火墙’,又像是为前列腺穿上了一件可靠的‘防弹衣’。有了这层保护,高剂量的质子束就能毫无顾虑地精准爆破肿瘤,而直肠则能安然无恙。”
在凝胶“防火墙”的悉心保护下,真正的“重头戏”——质子超大分割放疗正式登场。“不用紧张,每次治疗就几分钟,躺着不动就好。”治疗师轻声安抚着杨大爷。随着设备启动,无声的质子束精准锁定肿瘤目标。与传统放疗需要“跑”二三十次、持续一两个月的漫长过程不同,此次治疗采用“超大分割”技术,将总剂量分成几次“猛药”,在一周内完成5次治疗,实现了精准高效的治疗效果。
治疗期间,杨大爷的生活几乎没有受到太大影响,每天准时“上下班”来医院接受治疗。没有出现预想中的恶心、呕吐等不良反应,更没有便血和腹泻的困扰。“刚开始还有点紧张,后来发现跟做B超检查差不多,做完就回家吃饭,啥事没有。”杨大爷笑着对记者说道。
治疗结束一个月后,杨大爷回到医院进行复查。肿瘤标志物(PSA)及盆腔MR结果显示:未见明显异常。如今的杨大爷生活状态焕然一新,“我现在一点都不焦虑了,每天遛弯、下棋,跟老伴儿抢着做家务。”诊室走廊里回荡着他爽朗的笑声。
陶振主任表示:“这是华中地区首例‘质子大分割放疗 + 可吸收隔离水凝胶直肠保护术’的成功应用。我们的目标不仅仅是治愈患者的疾病,更重要的是让患者能够有尊严、高质量地生活下去。”
据悉,同济医院质子中心正在对这一成功经验进行系统总结和全面推广。未来,这一创新疗法有望为更多中低危前列腺癌患者带来福音,提供“既保命、又保肛”的精准治疗方案,让更多患者受益于医学科技的进步。
Copyright © 2001-2026 湖北荆楚网络科技股份有限公司 All Rights Reserved
互联网新闻信息许可证 4212025003 -
增值电信业务经营许可证 鄂B2-20231273 -
广播电视节目制作经营许可证(鄂)字第00011号
信息网络传播视听节目许可证 1706144 -
互联网出版许可证 (鄂)字3号 -
营业执照
鄂ICP备 13000573号-1
鄂公网安备 42010602000206号
版权为 荆楚网 www.cnhubei.com 所有 未经同意不得复制或镜像