荆楚网(湖北日报网)讯(通讯员 官笑涵 周长璐 实习生 黄筱晗)13岁男孩吃甲鱼时误吞骨头,尖锐骨片卡在食管第二狭窄处,尖端距离主动脉仅1.1毫米!紧急转往武汉儿童医院后,多学科专家协作,最终通过食管镜将骨片完整取出,避免了开胸手术。昨日,男孩恢复良好,顺利出院。
据了解,13岁男孩小轩(化名)来自潜江。前几天他和家人吃饭时,无意间把一块甲鱼骨混着饭吞了下去。没过多久,小轩就觉得胸口一阵刺痛,尤其是尝试吞口水时,疼痛感明显加重。父母便赶紧带小轩到当地医院就诊,CT检查发现一块尖锐的异物正卡在孩子食管第二狭窄处,家长回忆可能是甲鱼骨头。
食管第二狭窄处是食管“高危路段”之一,周围紧邻主动脉弓和气管分叉,一旦异物刺穿食管壁,极易损伤大血管,后果不堪设想。在当地医生建议下,小轩父母带着孩子火速赶到武汉儿童医院。
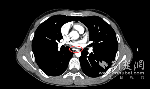
抵院后,医护人员为小轩完善了胸部增强CT检查,结果显示:异物位于胸段食管腔内,大小约26mm×16mm×5mm,形状为三角形,像一块小“匕首片”卡在食管中,距离主动脉仅约1.1mm,随时可能刺破血管,引发生命危险。

小轩胸部增强CT检查结果。通讯员供图
面对这一高风险病例,耳鼻喉科团队立即启动多学科会诊,紧急联系心胸外科、麻醉科专家团队,反复研判影像检查资料,围绕手术方案深入讨论。“虽然异物位置凶险,但尚未穿透食管全层,还是有一线希望从食管镜下取出。”经专家团队严格评估,决定先由耳鼻喉科在食管镜下尝试取出异物,心胸外科全程待命,随时做好紧急开胸的准备。
术中,耳鼻喉科团队在食管镜的引导下,顺利“锁定”食管中段的甲鱼骨片,由于操作空间极有限,医生只能以极小的幅度慢慢调整角度。好在凭借丰富经验和精细操作,骨片被一点点与食管壁分离,避开了脆弱的血管侧同时慢慢松动、取出。移动到食管入口处时,骨片还曾“卡顿”了一下,好在周围没有大的血管神经,医生便反复调整角度,最终有惊无险地取出异物,术中未出现食管穿孔、出血等并发症。手术全程,心胸外科、麻醉科团队始终在一旁保驾护航。看到小轩顺利脱险,不用经历开胸手术,大家都松了一口气。

骨片被顺利取出。通讯员供图
术后,患儿生命体征平稳,胸痛症状立刻缓解。昨日,他恢复良好,顺利出院。
“对于食管异物,预防发生是关键。给儿童吃食物时,务必仔细剔除骨头、鱼刺等,也要教育孩子养成细嚼慢咽的就餐习惯。”武汉儿童医院耳鼻喉科夏忠芳主任医师提醒,“若不慎误吞异物,家长应第一时间让孩子禁食禁水,迅速前往具备救治能力的儿童专科医院寻求专业帮助,切勿用手抠挖或者试图吞饭强行咽下,这些方法可能导致异物移位,划伤食管壁甚至刺破血管,导致危险进一步‘升级’。”
Copyright © 2001-2026 湖北荆楚网络科技股份有限公司 All Rights Reserved
互联网新闻信息许可证 4212025003 -
增值电信业务经营许可证 鄂B2-20231273 -
广播电视节目制作经营许可证(鄂)字第00011号
信息网络传播视听节目许可证 1706144 -
互联网出版许可证 (鄂)字3号 -
营业执照
鄂ICP备 13000573号-1
鄂公网安备 42010602000206号
版权为 荆楚网 www.cnhubei.com 所有 未经同意不得复制或镜像